Clinique Implantologie Dentaire
Clinique Implantologie Dentaire Dental Implants
1450 Boul.de Rome
Brossard , Quebec , J4W 2T4 Canada
579-720-1850
Implants Dentaires, Dental Implants

This hCard created with the hCard creator.

Clinique Implantologie Dentaire Implants Dentaire - Dental Implants Brossard © Copyright. All Rights Reserved.

​Inclus avec Michel Puertas denturologiste :
Ajustements gratuits de vos prothèses dentaires sur implants pour 5 ans.
Un nettoyage de vos prothèses dentaires amovibles sur implants annuellement pour 5 ans.
Un changement des nylons de vos prothèses dentaires amovibles sur implants annuellement pour 5 ans.

Clinique d'Implantologie Dentaire dental implants

Clinique d'Implantologie Dentaire dental implants

Prothèse Complète Fixe Fix-On-Zircon Brossard-Laprairie

Clinique d'Implantologie Dentaire dental implants

Scan 3D Clinique Implantologie Dentaire Brossard
​* Les prix incluent la portion chirurgicale (Dr Tesolin D.m.d.) et prothétique mais peuvent varier selon le genre d'attachement ou de barre; une consultation gratuite (valeur 500$) vous donnera toute l'information pour un choix clair et précis selon vos besoins. Chirurgie et prothèses dentaires sur implants, au même endroit, pour votre confort!.

Vivez l'expérience de la beauté et de la précision !
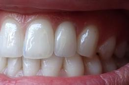
La prothèse fixe de zirconium sur implants dentaires représente la solution de haute qualité actuellement disponible en implantologie dentaire.
L’esthétique dentaire obtenue avec les prothèses fixes de zirconium est plus naturelle que celles d’autres prothèses.

Prothèse Complète Fixe Fix-On-Zircon Brossard-Laprairie

Michel Puertas, denturologiste avec plus de 25 ans d'expérience, collabore depuis plusieurs années avec le Dr Yvan Tesolin et la Société d'Implantologie Dentaire à la Clinique d'Implantologie Dentaire de Brossard afin de vous offrir des services implantaires et prothétiques de qualité, au même endroit, par des professionnels d'expérience.

Prothèses Fix-On-Zircon Clinique d'Implantologie Dentaire Implants Dentaire Brossard

Clinique d'Implantologie Dentaire dental implants

Clinique d'Implantologie Dentaire dental implants

La Clinique d'Implantologie Dentaire est située à Brossard, proche du Pont Champlain. La Clinique vous offre un stationnement gratuit avec facilité d'accès pour les personnes à mobilité réduite. Nous acceptons les cartes de crédit Visa et MasterCard, Interac, Chèques ou Argent. Nous parlons français, anglais, espagnol et nous avons un laboratoire sur place pour vos prothèses dentaires sur implants. Nous vous offrons à la Clinique d'Implantologie Dentaire qualité, service et expérience.​

Prothèses complètes Fix-On-Zircon

Clinique d'Implantologie Dentaire dental implants

Clinique d'Implantologie Dentaire dental implants

clinique d'implantologie dentaire dental implant services Brossard-Laprairie

LES IMPLANTS DENTAIRES ZIMMER

La société Zimmer Dental Implants a été fondée en 1927 et propose une gamme de produits dentaire complète sur le marché international. Elle fait partie des leaders du marché des implants dentaires avec des produits de très haute qualité qui profitent des dernières évolutions technologiques. Ces compétences lui permettent de proposer des produits innovants qui se démarquent clairement des solutions que l’on trouve chez d’autres marques d’implants dentaires.
La société Zimmer Dental Implants offre toutes les garanties de sécurité nécessaire, ses produits bénéficient tous d’un retour d’expérience sur des essais cliniques de longue durée. Elle accompagne ses partenaires afin d’offrir aux patients le meilleur service possible et de nouveaux produits qui permettent d’offrir aux patients toujours plus de flexibilité pour un sourire sur mesure.

LA SOCIÉTÉ ZIMMER DENTAL IMPLANTS EST UNE DES SEULE À PROPOSER UN IMPLANT DENTAIRE POREUX À 80 % QUI PERMET LA CROISSANCE OSSEUSE SUR ET DANS L’IMPLANT DENTAIRE. 

Cette technologie unique permet que l’implant poreux favorise la croissance osseuse, ce qui facilite l’intégration de l’implant. En permettant la croissance osseuse à l’intérieur même de l’implant, ce système améliore la stabilité de l’implant dentaire.
La société Zimmer Dental Implants propose des produits spécifiques pour obtenir le résultat le plus esthétique possible sur les dents visibles, une gestion optimale des tissus mous pour les implantations difficiles et des produits de références qui permettent d’obtenir un enfouissement parfait.

SCANNER 3D BROSSARD


Un scanner 3D au sein de la Clinique : Précision, confort et rapidité pour nos patients.
Nous croyons que nos patients doivent être bien informés au sujet des traitements qu’ils recevront. Notre appareil d’imagerie de haute qualité Planmeca ProMax 3D
avec une dose de radiation limitée, nous permet d’obtenir plusieurs images radiologiques en moins d’une minute afin d’analyser les résultats millimètre par millimètre et avoir les outils nécessaires pour poser un diagnostic plus précis et mieux préparer votre plan de traitement.
Nous pouvons aussi prendre un scan 3D pour votre dentiste généraliste ou autres spécialistes qui nécessiteraient une telle radiographie pour la meilleure planification d’un traitement dentaire ou chirurgical.

Clinique d'Implantologie Dentaire dental implants

Prothèse Complète Fixe Fix-On-Zircon Brossard-Laprairie
​​​​​​​​​Clinique Implantologie Dentaire Brossard 
Implants Dentaire - Dental Implants
Fadoq Michel Puertas Denturologiste Brossard - La Prairie
1450 Boul.Rome, Brossard (579)720 1850
- - http://www.cliniqueimplants.com/photos.html 2015-07-19 Daily 1 - http://www.cliniqueimplants.com/home.html 2015-07-19 Daily 1 - http://www.cliniqueimplants.com/about-us.html 2015-07-19 Daily 1 - http://www.cliniqueimplants.com/contact-us.html 2015-07-19 Daily 1 - http://www.cliniqueimplants.com/services-en-.html 2015-07-19 Daily 1 - http://www.cliniqueimplants.com/team.html 2015-07-19 Daily 1 - http://www.cliniqueimplants.com/ 2015-07-19 Daily 1 - http://www.cliniqueimplants.com/fix-on-4.html 2015-07-19 Daily 1 - http://www.cliniqueimplants.com/fix-on-zircon.html 2015-07-19 Daily 1 - http://www.cliniqueimplants.com/home-1.html 2015-07-19 Daily 1 - http://www.cliniqueimplants.com/implants.html 2015-07-19 Daily 1 - http://www.cliniqueimplants.com/patients.html 2015-07-19 Daily 1 - http://www.cliniqueimplants.com/services.html 2015-07-19 Daily 1 - http://www.cliniqueimplants.com/videos.html 2015-07-19 Daily 1

LES IMPLANTS DENTAIRES

Un implant dentaire est une racine artificielle, en titane ou zircone, placée dans l'os de la mâchoire afin de remplacer une ou plusieurs dents manquantes.

Un volume d’os suffisant est nécessaire pour que cet implant soit solidement ancré. Il faut ainsi avant toute pose d’implant dentaire, évaluer de façon précise la quantité et la qualité de l’os par le biais d'un examen radiologique approprié. Une image 3D est souvent requise pour s'assurer d'une précision optimale.

L’implant dentaire est inséré délicatement sous anesthésie locale, dans un environnement stérile, sans douleur.

L’implant dentaire vous permettra de retrouver le confort, la stabilité et l’esthétique.

Prothèse Complète Fixe Fix-On-Zircon Brossard-Laprairie
Prothèse Complète Fixe Fix-On-Zircon Brossard-Laprairie
User-agent: * allow: / Sitemap: https://www.cliniqueimplants.com/sitemap.xml Update cookies preferences