​​​​​​24000$*
Prothèse Fixe Du Haut Zircon Sur 5 Implants

Michel Puertas, denturologiste avec plus de 25 ans d'expérience, collabore depuis plusieurs années avec le Dr Yvan Tesolin et la Société d'Implantologie Dentaire à la Clinique d'Implantologie Dentaire de Brossard afin de vous offrir des services implantaires et prothétiques de qualité, au même endroit, par des professionnels d'expérience.
LES IMPLANTS DENTAIRE

Un implant dentaire est une racine artificielle, en titane ou zircone, placée dans l'os de la mâchoire afin de remplacer une ou plusieurs dents manquantes.

Un volume d’os suffisant est nécessaire pour que cet implant soit solidement ancré. Il faut ainsi avant toute pose d’implant dentaire, évaluer de façon précise la quantité et la qualité de l’os par le biais d'un examen radiologique approprié. Une image 3D est souvent requise pour s'assurer d'une précision optimale.

L’implant dentaire est inséré délicatement sous anesthésie locale, dans un environnement stérile, sans douleur.

L’implant dentaire vous permettra de retrouver le confort, la stabilité et l’esthétique.

​​​​​​22500$*
Prothèse Fixe Du Bas Zircon Sur 5 Implants

​​​​​​​30000$*
Prothèse Fixe Du Haut Zircon Sur 7 Implants

Croquez dans la vie... MAINTENANT !

Michel Puertas denturologiste, avec plus de 25 ans d'expérience, est un créateur de sourires. Diplômée en denturologie depuis 1997 il adhère à la philosophie suivante: La satisfaction , son engagement prioritaire. Sa formation et son domaine de compétences lui ont fournit une expérience solide. Ayant un laboratoire sur place il élimine les intermédiaires et ses services sont garants des plus hauts standards de qualité et professionnalisme.

Michel Puertas denturologiste est membre actif de :
Ordre des Denturologiste du Québec (O.D.Q.)
Association des Denturologistes du Québec (A.D.Q.)
Société d'Implantologie Dentaire (S.I.D.)

Prothèse Sur Implants Fix-On-Zircon 

Revenu Québec Clinique Implantologie Dentaire
Prothèse Fixe Fix-On-Zircon Fixed Denture Fix-On-Zircon Brossard-Laprairie
Planmeca ProMax 3D Clinique Implantologie Dentaire
​​27000$*
Prothèse Fixe Du Haut Zircon Sur 6 Implants

Fadoq Michel Puertas Denturologiste Brossard - La Prairie
1450 Boul.Rome, Brossard (579)720 1850

Clinique Implantologie Dentaire Implants Dentaire - Dental Implants Brossard © Copyright. All Rights Reserved.

Crédits d’impôts

Au Québec comme au Canada, un crédit d’impôt peut être appliqué pour des frais dentaires, réduisant ainsi le montant réel à débourser pour les soins dont vous avez bénéficié.
Pour plus de précisions sur les dépenses admissibles, nous vous invitons à consulter les sites Web de 
Revenu Québec et Revenu Canada
Prothèse Fixe Fix-On-Zircon Fixed Denture Fix-On-Zircon Brossard-Laprairie
La Clinique d'Implantologie Dentaire est située à Brossard, proche du Pont Champlain. La Clinique vous offre un stationnement gratuit avec facilité d'accès pour les personnes à mobilité réduite. Nous acceptons les cartes de crédit Visa et MasterCard, Interac, Chèques ou Argent. Il vous est possible d'obtenir un plan de financement, par l'entremise de la Banque Nationale ou Desjardins, pour vos soins prothétiques et implantaires. Nous parlons français, anglais, espagnol et nous avons un laboratoire sur place pour vos prothèses dentaires sur implants. Nous vous offrons à la Clinique d'Implantologie dentaire qualité, service et expérience.

​​​CONSULTATION GRATUITE
( Valeur 
500$ )

implants & prothèses dentaires sur implants

Crédits d'Impôts

Prothèse Fixe Fix-On-Zircon Fixed Denture Fix-On-Zircon Brossard-Laprairie
Dr Yvan Tesolin dentiste généraliste Brossard-Laprairie
Prothèse Fixe Fix-On-Zircon Fixed Denture Fix-On-Zircon Brossard-Laprairie
Michel Puertas denturologiste Brossard-Laprairie

Prothèse Fix-On-Zircon Clinique d'Implantologie Dentaire Implants Dentaire Brossard

Fadoq Michel Puertas Denturologiste Brossard - La Prairie

Michel Puertas
Denturologiste
+ 25 Ans d'Expérience
​Brossard

Diplômé de l’Université de Montréal en 1991, Dr YvanTesolin D.M.D a depuis entretenu sa passion pour la dentisterie en poursuivant de nombreux programmes de formation, dont l’orthodontie, l’implantologie, l’ATM, ainsi que la dentisterie cosmétique.

Ses préoccupations pour la santé et le bien-être de ses patients l’ont mené vers les plus prestigieux instituts dentaires d’Amérique du Nord et d’Europe.

Dr Tesolin a suivi des cours pour améliorer et perfectionner ses connaissances en implantologie et réhabilitation dentaire dans des instituts renommées, dont :

-Hands on Training Institute de 1996 à 1997.

-Las Vegas Institute for Advanced Studies dentaires (LVI) de 2003 à 2005.

-Université de Donau en Autriche, (MSc) maîtrise en problèmes de dysfonctions de l’appareil masticatoire de 2005 à 2007.

-Misch Implant Institute et Implant Seminars, greffes osseuses avancées, restauration sur implant et protocole chirurgical en implantologie de 2007 à 2010

Il est membre d’Internationnal Congress of Oral Implantologists, dont il a reçu le titre honorifique de Fellow.

Depuis, le Dr Tesolin partage son temps entre sa pratique privée, la recherche et l’enseignement en dentisterie implantaire, ou il est responsable du programme d’implantologie à l’Institut Dentaire International (IDI))

Toujours dans le but de perfectionner son art, les programmes de formation continue sont tout aussi présents à son agenda.

Les prix incluent la portion chirurgicale (Dr Tesolin D.m.d) et prothétique mais peuvent varier selon le genre d'attachement ou de barre; une consultation gratuite (valeur 500$) vous donnera toute l'information pour un choix clair et précis selon vos besoins. Chirurgie, scan 3D et prothèses sur implants, au même endroit, pour votre confort!. Nous vous offrons à la Clinique d'Implantologie Dentaire qualité, service et expérience.​

​​*​​Inclus Implants Dentaires, Scan 3D, Guide Chirurgical Et Prothèse Esthétique Finale Zircone Fix-On-Zircon De Précision Sans Greffe Osseuse, De Qualité Esthétique Supérieure.

Dr Yvan Tesolin
Dentiste Généraliste
+ 31 Ans d'Expérience
​Brossard

​​​​​​21500$*
Prothèse Fixe Du Haut Zircon Sur 4 Implants

Revenu Canada Clinique Implantologie Dentaire
Prothèse Fixe Fix-On-Zircon Fixed Denture Fix-On-Zircon Brossard-Laprairie


Vivez l'expérience de la beauté et de la précision !
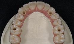
La prothèse fixe de zircon sur implants dentaires représente la solution de haute qualité actuellement disponible en implantologie dentaire.
L’esthétisme dentaire obtenu avec les prothèses fixes de zircon a un rendu naturel remarquable. De plus, il n'y a pas de décoloration ou d'apparition de ligne noire ou foncée au rebord de la gencive.
Grâce à son extrême dureté et sa haute densité, ce produit résiste aux forces masticatoires. Il n’est pas sujet à l’usure et sa couleur reste inaltérée.
​​

FIX-ON-ZIRCON BROSSARD

​​​​​​24000$*
Prothèse Fixe Du Bas Zircon Sur 6 Implants

 Plus de 25 ans d'expérience !
Nous vous offrons qualité, service et expérience

LES IMPLANTS DENTAIRE ZIMMER

La société Zimmer Dental Implants a été fondée en 1927 et propose une gamme de produits dentaire complète sur le marché international. Elle fait partie des leaders du marché des implants dentaires avec des produits de très haute qualité qui profitent des dernières évolutions technologiques. Ces compétences lui permettent de proposer des produits innovants qui se démarquent clairement des solutions que l’on trouve chez d’autres marques d’implants dentaires.
La société Zimmer Dental Implants offre toutes les garanties de sécurité nécessaire, ses produits bénéficient tous d’un retour d’expérience sur des essais cliniques de longue durée. Elle accompagne ses partenaires afin d’offrir aux patients le meilleur service possible et de nouveaux produits qui permettent d’offrir aux patients toujours plus de flexibilité pour un sourire sur mesure.

LA SOCIÉTÉ ZIMMER DENTAL IMPLANTS EST UNE DES SEULE À PROPOSER UN IMPLANT DENTAIRE POREUX À 80 % QUI PERMET LA CROISSANCE OSSEUSE SUR ET DANS L’IMPLANT DENTAIRE. 

Cette technologie unique permet que l’implant poreux favorise la croissance osseuse, ce qui facilite l’intégration de l’implant. En permettant la croissance osseuse à l’intérieur même de l’implant, ce système améliore la stabilité de l’implant dentaire.
La société Zimmer Dental Implants propose des produits spécifiques pour obtenir le résultat le plus esthétique possible sur les dents visibles, une gestion optimale des tissus mous pour les implantations difficiles et des produits de références qui permettent d’obtenir un enfouissement parfait.

Stabilité-Confort-Esthétisme-Meilleure Qualité De Vie-Solution De Haute Qualité

​​​​​​​​​Clinique Implantologie Dentaire Brossard 
Implants Dentaire - Dental Implants
Clinique Implantologie Dentaire
Clinique Implantologie Dentaire Dental Implants
1450 Boul.de Rome
Brossard , Quebec , J4W 2T4 Canada
579-720-1850
Implants Dentaires, Dental Implants

This hCard created with the hCard creator.

- - http://www.cliniqueimplants.com/photos.html 2015-07-19 Daily 1 - http://www.cliniqueimplants.com/home.html 2015-07-19 Daily 1 - http://www.cliniqueimplants.com/about-us.html 2015-07-19 Daily 1 - http://www.cliniqueimplants.com/contact-us.html 2015-07-19 Daily 1 - http://www.cliniqueimplants.com/services-en-.html 2015-07-19 Daily 1 - http://www.cliniqueimplants.com/team.html 2015-07-19 Daily 1 - http://www.cliniqueimplants.com/ 2015-07-19 Daily 1 - http://www.cliniqueimplants.com/fix-on-4.html 2015-07-19 Daily 1 - http://www.cliniqueimplants.com/fix-on-zircon.html 2015-07-19 Daily 1 - http://www.cliniqueimplants.com/home-1.html 2015-07-19 Daily 1 - http://www.cliniqueimplants.com/implants.html 2015-07-19 Daily 1 - http://www.cliniqueimplants.com/patients.html 2015-07-19 Daily 1 - http://www.cliniqueimplants.com/services.html 2015-07-19 Daily 1 - http://www.cliniqueimplants.com/videos.html 2015-07-19 Daily 1
Prothèse Fixe Fix-On-Zircon Fixed Denture Fix-On-Zircon Brossard-Laprairie
Prothèse Fixe Fix-On-Zircon Fixed Denture Fix-On-Zircon Brossard-Laprairie
​​19500$*
Prothèse Fixe Du Bas Zircon Sur 4 Implants​

 
SCANNER 3D BROSSARD

Un scanner 3D au sein de la Clinique : Précision, confort et rapidité pour nos patients.
Nous croyons que nos patients doivent être bien informés au sujet des traitements qu’ils recevront. Notre appareil d’imagerie de haute qualité Planmeca ProMax 3D
avec une dose de radiation limitée, nous permet d’obtenir plusieurs images radiologiques en moins d’une minute afin d’analyser les résultats millimètre par millimètre et avoir les outils nécessaires pour poser un diagnostic plus précis et mieux préparer votre plan de traitement.

Nous pouvons aussi prendre un scan 3D pour votre dentiste généraliste ou autres spécialistes qui nécessiteraient une telle radiographie pour la meilleure planification d’un traitement dentaire ou chirurgical.

User-agent: * allow: / Sitemap: https://www.cliniqueimplants.com/sitemap.xml Update cookies preferences